Loading

MTA充填後の再治療で歯を救えた中学生の症例

【他院MTA充填後の再治療例】

今回は、他院でMTAによる根管充填を受けたものの経過が思わしくなかったため、当院で再治療を行った中学生の患者さんのケースをご紹介します。

患者さんはお母様のご紹介で来院されました。 お母様と患者さんは、電車で30分ほどの距離にお住まいとのことです。

経緯としては、 中学生の息子さんが他院で歯の痛みを訴え、神経を取る治療を受けました。しかし再治療をしても症状が改善せず、「硬いセメント(MTA)で充填したが、これでダメなら抜歯しかない」と説明されたそうです。

YouTube解説はこちら

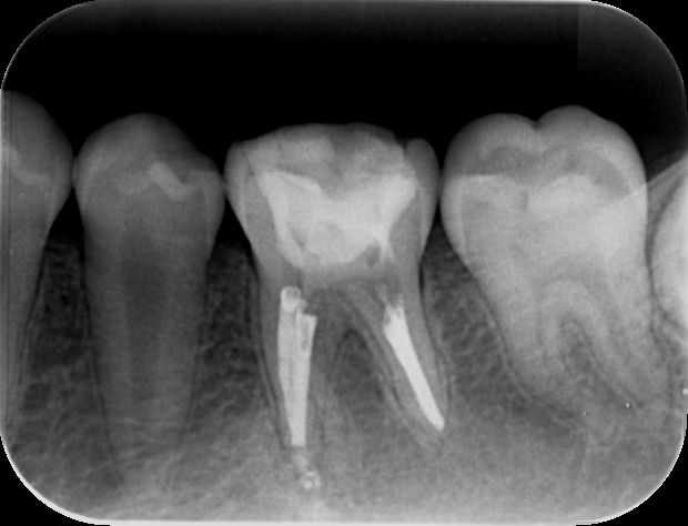
【術前の状態】 デンタルX線写真(後日掲載予定)を確認すると、左下6番(第1大臼歯)の近心および遠心に病変が見られました。 根管内には、しっかりと薬剤が充填されていない印象を受け、また根尖孔外には少量のMTAが漏出している状態でした。

【再治療後の状態】 再治療後のデンタルX線写真(後日掲載予定)をご覧いただくとわかるように、病変は消失しており、根管内にも薬剤がしっかりと行き届いている様子が確認できます。 根尖孔外に漏れていたMTAには変化はありません。

【治療を終えて】 現在、MTAを用いた根管充填は世界的にスタンダードになりつつありますが、その反面、再治療が難しくなるというデメリットもあります。 セメントの性質上、除去が困難で、経験のある歯科医師でなければ対応が難しいケースも少なくありません。専門医であっても難易度は高いとされています。 経験不足の先生がMTAで充填を行うと、後々の対応に困ることが多く、結果として患者さんにとって不利益になる可能性があります。

今回のように若い患者さんの大切な歯をなんとか保存することができ、本当に良かったと思います。

このような再治療のご相談も随時受け付けておりますので、お気軽にご相談ください。

関連記事

  1. 根管治療が必要な症状と診断方法
  2. 根管治療にまつわる誤解や不安を解消しよう|よくある疑問にお答えし…
  3. 顕微鏡が根管治療の成功を左右する!注目の研究を解説
  4. 石崎先生|歯内療法の専門家が語る根管治療の最前線
  5. CTとマイクロスコープで解決できる割合
  6. 意図的再植
  7. 【症例紹介】MB根が2根管性だったケース【CT診断とマイクロスコ…
  8. 見逃された根管が根尖病変の発生率に与える影響:横断研究の詳細
インビザライン
求人情報

インプラント(基礎知識編)

インプラント(メインテナンス編)

カテゴリー一覧

アーカイブ一覧

クリニック情報

福山デンタルクリニック
JR「甲南山手駅」徒歩3分

電話番号

TEL:078-431-4444

住所

〒658-0011
兵庫県神戸市東灘区
森南町1丁目
カームネスト甲南山手102

アクセスはこちらから

診療時間

【休診日】
木・日・祝日
【診療時間】
午前 9:30~13:00
午後14:30~19:00
土曜日午後の診察は17:00迄です。